当院では、 歯科医院への通院が困難な方々のために、ご自宅や施設・病院へ直接お伺いして歯科診療を行っております。
虫歯治療、入れ歯の調整・作製はもちろん、近年誤嚥性肺炎の予防として注目されている口腔ケアも行っております。
また、当院には男性1名、女性2名の歯科医師がおります。男性歯科医師が苦手な方やお子様もいらっしゃると思います。その場合はご遠慮なくお申し付けください。
*健康保険や介護保険制度を利用することができます。ただし他の医療機関に通院されていらっしゃる方は保険での訪問歯科診療の対象外になります。
訪問歯科エリアはこちら
当院は、全国でも珍しい『矯正で歯並びがキレイになった後、
ホワイトニングコースでさらなる美を手に入れられる』歯科医院です。
(もちろん、ホワイトニングコースのみも承っております)
さらに、ホワイトニングの施術は国家資格を持つプロの歯科衛生士が行うので安心です。
「人前にでる機会が多いからより美しくいたい…」「就活・婚活・結婚式があるから白くしたい!」
など、あなたのご要望にお応えするコースをご用意しております。
治療が初めてだったり恐がりなお子様には、スモールステップ法で対応します。
小さなステップで少しずつ慣らしていき、「大丈夫だった」「怖くなかった」という成功体験を積み重ねることで治療ができるようになります。
治療中は各診療台のモニターで動画を見ながら楽しい雰囲気で診療を受けることができます。
当院では歯を見た目よく並べるだけでなく、正常に機能させる事を目的にしています。
患者さん一人一人に合った治療法を選択できるように分析し治療計画をたて、ご相談の時間を十分とるようにしております。また、顎顔面咽頭領域の自然な成長発育を誘導し気道を広げ、お子様の口の中の機能(鼻呼吸・噛むこと・飲みこむこと・発語など)を十分発揮できるようにすることで、歯並びを改善していくことを目的にした治療も行っております。
患者さんのご要望にそくした治療をご提案させていただきます。
矯正治療について詳しく読む

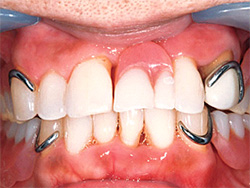
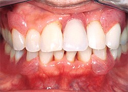
金属のバネのある入れ歯

金属のバネの無い入れ歯
ハイグレードな材料と技術で白くてエステティックな口元を実現します(保険適用外)。
その他、ご要望に応じて、最適な治療をご提案いたします。
インプラント治療を適切に行うためには、顎の骨の状態を詳しく調べることが重要です。
そこで、当院では治療前にCT撮影を行うようにおねがいしています。
骨の硬さや形、神経の位置など一人一人異なります。
当院では、CT撮影後コンピューター上でSimPlantを使用し、リアルな3D画像で顎の骨の状態を見ながら、診査・診断・治療計画を行います。
SimPlantを用いることで、患者さんがより安心できるインプラント治療を目指しています。
日本での歯周病有病率は20歳代で約7割、30~50歳代で約8割といわれています。
多くの方が罹患している歯周病に対し、当院では従来の歯周治療に加え、顕微鏡で細菌検査を行い飲み薬を併用して歯周病菌を抑える歯周内科治療を行っております。
治療後の定期的なメインテナンスも歯周病を予防するのに重要です。

唾液検査装置
虫歯や歯周病になってからの治療ではなく、ならないように予防することが大切です。
歯科衛生士が患者さんのお口にあった歯ブラシや音波ブラシなどを提案し、使用方法を詳しくご説明いたします。
お子様にはフッ素塗布やシーラントなどで虫歯の予防をします。
ご希望があれば最新の唾液検査装置にて虫歯・歯周病のリスクを調べることもできます。

口腔外吸引装置
当院では、FDI(国際歯科連盟)の提唱するMI(ミニマルインターベンション)のコンセプトに準じて、必要最小限の侵襲治療を実践しております。
できるだけ歯を抜かない・削らないことで、体に優しい治療を心がけております。
また、外来環の設置基準を満たしておりますので、各診療台に口腔外吸引装置を設置し、AED・パルスオキシメーター等を配置して、安心で安全な歯科医療環境を整えております。
copy right Tanaka Dental clinic